После диагностики была проведена сплинт-терапия, сплинты изготовлены в лаборатории S-Line Lab, фиксация положения нижней челюсти на временных накладках, ортодонтическое лечение на элайнерах S-Line.
На 4 фото результат экструзии зубов за 6 месяцев.
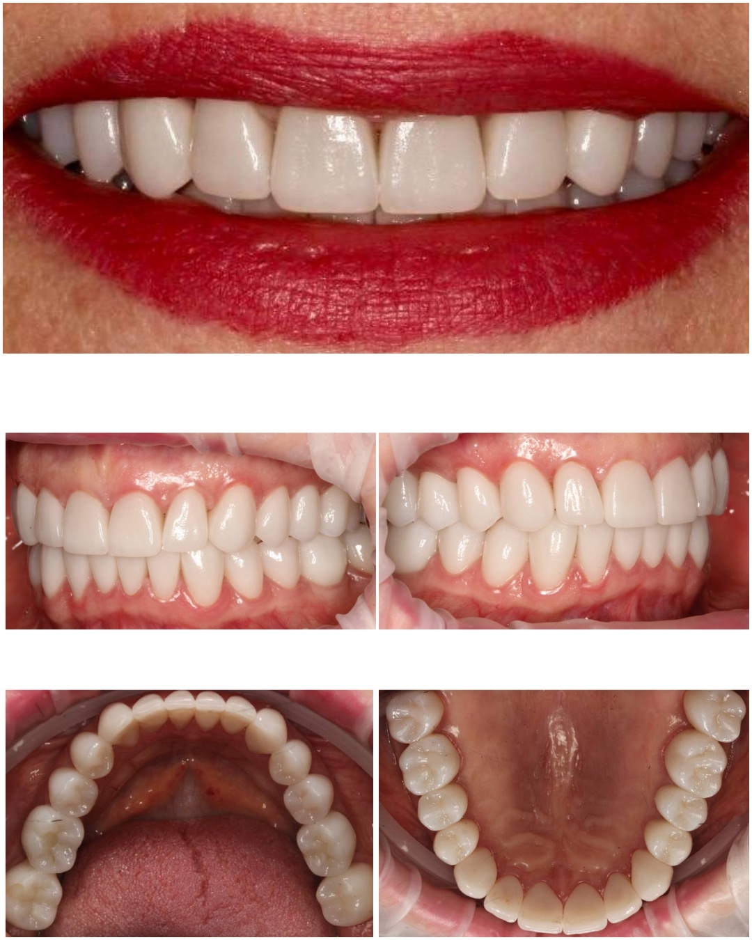
Завершение ортодонтического лечения на элайнерах S-Line.
Следующий этап — замена временных накладок на постоянные.
На первом этапе был выполнен полный диагностический протокол: фотопротокол внутриротовое сканирование КТ-исследование
После тщательной диагностики принято решение о проведении ортодонтической подготовки перед тотальным протезированием.
Лечение проводилось только на нижней челюсти с использованием элайнеров. Срок лечения — 5 месяцев Использовано 10 капп на НЧ
В ходе лечения выполнено: расширение зубного ряда во фронтальном отделе коррекция наклона зубов создание места и постановка зуба 41 в зубную дугу интрузия зуба 41
Далее планируется ортопедическое протезирование. Продолжение следует…
Исходная ситуация: Отсутствие некоторых жевательных зубов Высокая стираемость зубов — зубы стали короче Потеря эстетического вида Снижение высоты прикуса из-за стираемости зубов
Этапы работы: 1. Изготовлены временные коронки на все присутствующие зубы — в новой, физиологически правильной высоте прикуса. 2. После адаптации пациента установлены циркониевые коронки — как на собственные зубы, так и на импланты.
Результат: Восстановлена анатомическая форма и высота прикуса Улучшены эстетика и гармония улыбки Восстановлена функция жевания
Улыбка стала не только красивой, но и функциональной!
Алексей Александрович занимается комплексным лечением заболеваний височно-нижнечелюстного сустава (ВНЧС) и полным восстановлением зубов. Его специализация направлена на устранение причин дисфункции ВНЧС, восстановление правильного прикуса и создание безупречной, функциональной улыбки.
Андрей Сергеевич занимается исправлением прикуса с помощью брекетов и элайнеров, уделяя внимание взаимосвязи прикуса с функцией височно-нижнечелюстного сустава (ВНЧС). Его подход гарантирует не только красивую улыбку, но и функционально здоровую зубочелюстную систему.
Ришат Рашитович – высококвалифицированный специалист в области эндодонтии, для которого главное – сохранить ваш зуб, даже в самых сложных случаях. Он успешно проводит лечение кист и решает проблему извлечения сломанных инструментов из корневых каналов, возвращая зубам здоровье и функциональность.
Тимур Анварович – опытный стоматолог-ортопед, чья специализация направлена на полное восстановление функциональности и эстетики зубного ряда. Он возвращает пациентам уверенность в себе благодаря безупречным протезным конструкциям, которые выглядят естественно и ощущаются комфортно.
Дарина Ринатовна – квалифицированный специалист, для которого главное – сохранить ваши зубы здоровыми и красивыми. В ее практике особое внимание уделяется профилактике, лечению кариеса и его осложнений, а также проведению сложных эндодонтических манипуляций.
Лев Владимирович – стоматолог общей практики, который оказывает широкий спектр услуг для всей семьи. Его цель – обеспечить комплексное лечение и профилактику, поддерживая здоровье полости рта на высоком уровне и решая разнообразные стоматологические проблемы.
Алсу Альбертовна – опытный врач-остеопат, чей уникальный подход фокусируется на восстановлении естественного баланса всего организма. Особое внимание она уделяет работе с дисфункциями височно-нижнечелюстного сустава (ВНЧС), проводит остеопатическую коррекцию позвоночника и всего тела для достижения общего оздоровления.
Марина Витальевна – стоматолог-ортодонт с многолетним опытом, которая создаёт идеальные прикусы и красивые улыбки. Она знает, что ровные зубы и правильное положение челюсти – это не только эстетика, но и залог здоровья всей зубочелюстной системы. Помогает пациентам обрести уверенность, сияющую улыбку и улучшить качество жизни.
Карим Махмутович – специалист в области хирургической стоматологии и имплантологии, который применяет передовые методики для восстановления утраченных зубов и решения сложных задач в полости рта. Его фокус – на безопасных и эффективных вмешательствах с использованием современных протоколов.
Владислав Сергеевич – внимательный и высококвалифицированный стоматолог-терапевт. В своей практике он делает акцент на профилактике стоматологических заболеваний, эффективном лечении кариеса и его осложнений, а также профессионально выполняет эндодонтическое лечение любой сложности, помогая сохранить даже сильно повреждённые зубы.
Элина Ралимовна – заботливый и внимательный детский стоматолог-терапевт, которая находит подход к каждому маленькому пациенту и помогает сформировать положительное отношение к лечению зубов с раннего возраста. Главная цель Элины Ралимовны – сохранить здоровье молочных и постоянных зубов ребёнка и подарить ему уверенную, красивую улыбку.
Записаться
Записаться на консультацию
Оставьте заявку, наш администратор свяжется с вами в ближайшее время
Здесь можно прочитать все отзывы о стоматологии S-LINE DENTAL
Контакты
Адрес: г. Казань, ул. проспект Победы, 142 Телефоны: +7 843 216-51-00
График работы: с понедельника по субботу с 9:00 до 20:00, воскресенье с 10:00 до 18:00
ИМЕЮТСЯ ПРОТИВОПОКАЗАНИЯ, НЕОБХОДИМА КОНСУЛЬТАЦИЯ СПЕЦИАЛИСТА
Любая информация, предоставленная на данном сайте, в частности, касающаяся характеристик, наличия, стоимости объектов носит исключительно информационный характер и ни при каких условиях не является публичной офертой, определяемой положениями статьи 437 ГК РФ
Сайт использует cookie-файлы, чтобы сделать ваше пребывание на нём максимально удобным. К cайту подключён сервис веб-аналитики Яндекс. Метрика, использующий cookie-файлы. Оставаясь на сайте, вы даёте своё согласие на обработку персональных данных в порядке, указанном в Политике обработки персональных данных.
Устали ломать голову над тем, что подарить? Подарите своим близким то, что они точно оценят: здоровье и красоту улыбки! Сертификат на стоматологические услуги — это забота, которую почувствуют. На любую услугу или сумму.